스케일링이란 무엇인가요?



스케일링은 치아에 붙어 있는 치석과 플라크를 제거하여 구강 건강을 유지하는 데 도움을 주는 치과 치료입니다.
스케일링은 치아 표면의 세균과 이물질을 깨끗하게 제거해 잇몸 질환을 예방하고,
구강 내 악취를 개선하는 데 효과적입니다.
치과에서 권장하는 스케일링 주기는 일반적으로 6개월에서 1년 정도입니다.
스케일링 후 주의사항
1. 스케일링 후 주의사항 : 스케일링 후 몇 시간 금식이 필요합니다



스케일링 직후 치아와 잇몸이 민감한 상태가 되므로, 최소 2시간 동안은 금식을 유지해야 합니다.
이는 치아와 잇몸이 자극을 덜 받도록 돕는 중요한 과정입니다.
2. 스케일링 후 주의사항 : 자극적인 음식은 피하세요



스케일링 후에는 뜨겁거나 차가운 음식, 매운 음식은 피하는 것이 좋습니다.
이러한 음식은 치아 민감도를 증가시키고, 잇몸 자극을 유발할 수 있습니다.
3. 스케일링 후 주의사항 : 음료 섭취 시 주의하기



커피, 와인, 주스 등 착색이 강한 음료는 스케일링 후 치아에 쉽게 착색될 수 있습니다.
최소 하루 동안은 이러한 음료를 피하세요.
4. 스케일링 후 주의사항 : 구강 위생 관리 철저히 하기



스케일링 후 치아 표면은 매끄러워지지만, 관리하지 않으면 치석이 다시 생길 수 있습니다.
양치질을 꼼꼼히 하고 치간 칫솔이나 치실을 사용하는 것이 중요합니다.
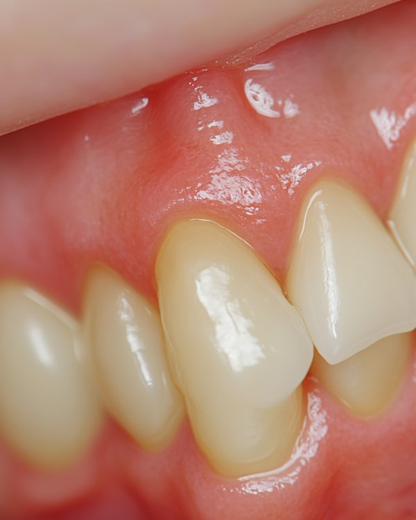
스케일링의 부작용과 해결법



스케일링 후에는 치아 민감도 증가나 잇몸 출혈과 같은 증상이 일어날 수 있습니다. 이는 일시적인 현상으로 보통 며칠 내에 사라지지만, 심한 통증이나 출혈이 지속된다면 치과를 방문해야 합니다.
1. 치아 민감도 증가



스케일링 후 치아가 민감해지는 이유는 치석이 제거되면서 노출된 치아 표면 때문입니다.
민감성 치약을 사용하면 도움이 됩니다.
2. 잇몸 출혈



스케일링 과정에서 잇몸에 약간의 자극이 가해질 수 있습니다.
이를 완화하려면 따뜻한 소금물로 입안을 헹구는 것이 좋습니다.
3. 치아 착색 가능성 증가



스케일링 후 착색이 더 잘될 수 있으므로, 구강 위생 관리가 더욱 중요합니다.
스케일링 후 지속적인 관리 방법
1. 음파전동칫솔 사용



스케일링 후 바이오필름(세균막)을 제거하는 데 뛰어난 도구입니다.
스케일링 후 일반 칫솔보다 세균 제거 효과가 뛰어나며, 치아 표면을 깨끗하게 유지할 수 있습니다.
2. 구강 청결 유지



치실과 치간 칫솔을 함께 사용하여 치아 사이사이를 청결하게 관리하세요.
3. 정기적인 스케일링



스케일링은 최소 6개월마다 한 번씩 받는 것이 구강 건강을 유지하는 데 효과적입니다.
장기적인 구강청결 관리



구강 청결을 장기적으로 유지하려면, 음파전동칫솔을 사용하는 것이 효과적입니다.
음파전동칫솔은 치아 표면뿐만 아니라 치아 사이와 잇몸라인의 세균막(바이오필름)까지 제거하는 데 탁월합니다.
연구에 따르면 음파전동칫솔은 일반 칫솔보다 세균 제거율이 90% 이상 높습니다.
음파전동칫솔은 강력한 진동으로 치아와 잇몸을 부드럽게 관리하며,
치석 재발을 예방하는 데도 큰 도움을 줍니다.
특히, 스케일링 후 민감해진 치아와 잇몸을 자극하지 않고도 효과적으로 청결을 유지할 수 있습니다.
스케일링 후 구강 건강을 유지하려면 정기적인 관리와 함께 음파전동칫솔을 사용해 보세요.
음파전동 칫솔은 단순한 치아 관리 이상의 만족감을 제공하며,
오랜 기간 건강한 치아를 유지할 수 있도록 도와줍니다.
스케일링을 정기적으로 받고, 스케일링 후 적절한 관리를 통해 더욱 건강한 치아를 만들어 보세요.
음파전동칫솔은 구강 건강의 필수 요소입니다.
스케일링 후 좋은 습관을 들이면, 스케일링의 효과를 더욱 오래 유지할 수 있습니다.
특히 잇몸이 좋지 않으시거나, 스케일링 후 잇몸이 예민하실 경우에는 음파미세전류칫솔로 관리하시는걸 추천드려요.
덴티스톰 하이브리드 음파전동 미세전류 칫솔 : 덴탈리티
[덴탈리티] 구강건강 전문가 덴탈리티
smartstore.naver.com
'기타' 카테고리의 다른 글
| 구강세정기 고르는 법 (1) | 2024.11.15 |
|---|---|
| 잇몸 영양제 (2) | 2024.11.15 |
| 칫솔 교체주기 (0) | 2024.11.15 |
| 구내염 빨리 낫는법 (1) | 2024.11.15 |
| 산후복대 사용시기 (2) | 2024.11.15 |